
内視鏡検査


電子内視鏡検査
内視鏡とはいわゆる胃カメラのことです。その中でも電子内視鏡は先端についたCCDカメラによってモニターに内視鏡先端の映像を映し出すもので、操作性と記録性に優れています。カメラの隣から様々な鉗子を通して異物を掴んだり、組織を切り取ったり、電気メスでポリープを焼いたりなどの検査や治療が可能です。従来は開腹手術をしなければ不可能だった処置や検査がお腹を切らずに可能となります。検査の内容はデジタル録画しますので飼い主様への説明や紹介元の動物病院への情報提供が容易です。
内視鏡の代表的な適応として以下の3つがあげられます。
①食道や胃の異物除去
②慢性腸炎などにおける組織生検
③胃チューブ設置
①食道や胃の異物除去
食道や胃内にある異物を鉗子で掴んで除去します。動物が異物を飲み込んだ場合に吐かせるという手段もありますが、尖ったものや食道につかえそうなものなどは吐かせるべきではありません。針などの尖ったものも状況によっては内視鏡で安全に回収できます。特に食道内の異物は手術による対応が難しいため、内視鏡が第一に選択されます。


②胃腸の病気の診断
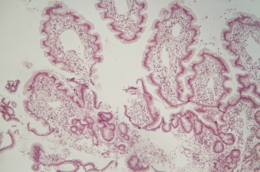
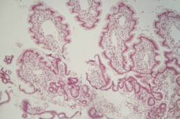
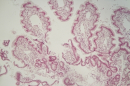
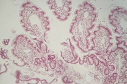
「生検」とは組織の小さな塊を採取し標本を作成して病気の種類を確かめることを言います。内視鏡で調べる事のできる病気として低タンパク血症でお腹に水が貯まってくる蛋白喪失性腸症があります。蛋白喪失性腸症はさらに炎症性腸症、リンパ管拡張症、腸リンパ腫など複数に分類され、それぞれ治療法も異なるため組織の検査が必要です。内視鏡による組織生検はお腹を開けたり、腸を切開する必要がないため、動物にとって負担の少ない検査になります。検査結果は内視鏡検査後、1週間から10日くらいで判明します。

リンパ管拡張症の組織写真
③胃チューブ設置
何らかの原因によって口から食べる事が出来なくなったり、病気のために食欲が低下した動物の体力の維持のために皮膚から胃に直接流動食を与える胃瘻チューブ(PEGチューブ)を設置します。PEGチューブは比較的長期間の管理が可能です。栄養補給のためのチューブを設置することに抵抗を感じる飼い主さんは多いのですが、多くの消耗性疾患の場合、病気そのものの影響よりも食欲不振とそれに続く低栄養から弱ってしまうことが多いのです。病気を治して行くためには大切な治療法です。理由があって食べれなくなっている動物はお腹が空くとPEGチューブからの給餌をねだるようになりますし、お腹が満たされると満足した様子になります。PEGチューブは設置した場合に1週間程度の入院が必要です。
ただし、最近は猫から中型犬くらいまでは設置および管理が容易でトラブルの少ない食道瘻チューブの利用が増えています。
ただし、最近は猫から中型犬くらいまでは設置および管理が容易でトラブルの少ない食道瘻チューブの利用が増えています。


④猫の内視鏡検査
一般的に使用されている内視鏡は9mm程度の太さがあり、猫や超小型犬では実施が困難です。その場合、組織を採取する検査が必要な場合は開腹手術を行わざるを得ません。
当院では猫や超小型犬でも使用できる直径5.4mm以下の細径内視鏡も用意しています。猫の内視鏡検査を実施出来る施設はまだ少ないため、重宝されています。細い内視鏡もハイビジョン画質であり、動物病院にはあまり普及していないものをご用意しています。
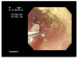
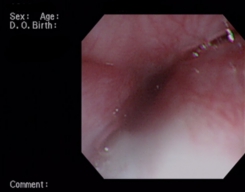
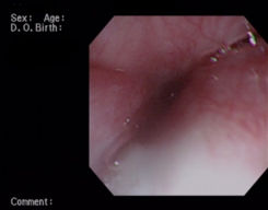
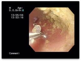
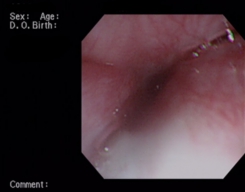
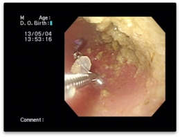
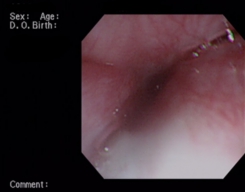
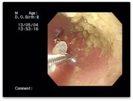
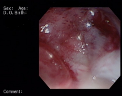
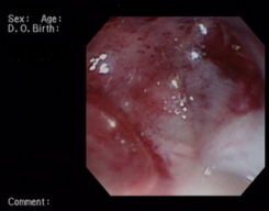
左下の写真は慢性的な嘔吐の猫の十二指腸の内視鏡検査を行っているところで、生検の結果は腸炎と診断されました。右下の写真は猫の食道です。
当院では猫や超小型犬でも使用できる直径5.4mm以下の細径内視鏡も用意しています。猫の内視鏡検査を実施出来る施設はまだ少ないため、重宝されています。細い内視鏡もハイビジョン画質であり、動物病院にはあまり普及していないものをご用意しています。
左下の写真は慢性的な嘔吐の猫の十二指腸の内視鏡検査を行っているところで、生検の結果は腸炎と診断されました。右下の写真は猫の食道です。


⑤鼻腔内視鏡検査
慢性のくしゃみ、血混じりの鼻水、顔面の変形などがある時は鼻腔の腫瘍を考慮する必要があります。当院の超細径内視鏡は大型犬のサイズであれば鼻から直接挿入して診断する事が可能です。左の写真は正常な側の鼻腔の写真、右側は腫瘍の存在する側の写真です。画像で確認した上で組織を採取して診断をします。鼻腔など骨に囲まれた部位は通常のレントゲン検査では把握が難しくCT検査が有用ですが、いずれにせよ最終的な診断には組織を採取する必要があります。生検の機能はないものの、小型犬の鼻にも挿入できる、さらに細い内視鏡も用意しています。


内視鏡は万能ではありませんので、適応、不適応があります。特に動物の場合は全身麻酔が必要となりますので人間の場合に比べると若干は負担の大きい検査になります。その適応についてはX線検査や超音波検査、血液検査など負担の少ない検査を行って見極める必要があります。